Secuelas del buceo: sus efectos sobre el organismo de los buzos comerciales

Cuando se habla de dolencias que produce el buceo, rápidamente se lo asocia con una serie de enfermedades agudas, entre las que debo mencionar a la enfermedad por descompresión, los barotraumas, y tal vez la más espectacular, la embolia arterial gaseosa. Sin embargo, los posibles efectos sobre la salud a largo plazo del buceo, no son muchas veces mencionados.
La osteonecrosis disbárica está íntimamente asociada con el buceo y en, algunos países, es una enfermedad de denuncia obligatoria para los buzos comerciales [en el número 2 de SubaQuatica Magazine hay un artículo publicado sobre esta dolencia].
Otros aspectos de la salud, sin embargo, han aumentado la preocupación de muchos, pero no han sido concluyentemente asociados con la actividad de buceo, con un mayor o menor impacto en la calidad de vida del buzo. Éstos incluyen alteraciones neurológicas, alteraciones de la función pulmonar y daño al oído interno, cambios en la personalidad, el sueño y hasta en la actividad sexual.
En mi experiencia profesional, he visto buzos comerciales y militares que han acumulado gran cantidad de horas de buceo y que nunca tuvieron manifestaciones de accidentes descompresivos, pero sin embargo presentaban lesiones en la sustancia blanca del cerebro, trastornos en la personalidad o alteraciones en el ritmo del sueño.
Evolución de los estudios
En la década de 1970, se llevaron a cabo diferentes estudios que pusieron de manifiesto posibles consecuencias neurofuncionales relacionadas con el buceo asociadas a un deterioro neurológico y cognitivo después de la evaluación neuropsicológica de las funciones cerebrales o de imágenes del cerebro.
Edmonds y colaboradores encontraron que 11 buzos profesionales de abulones de Australia de un grupo de 30, presentaban un deterioro de la capacidad intelectual que no se relacionaban con factores que podían prestarse a confusión tales como el alcoholismo o antecedentes de enfermedad de la descompresión.
También Di Piero y colaboradores observaron alteraciones de la perfusión del cerebro a través de pruebas SPECT, en buzos profesionales bajo oxigenación hiperbárica. Estas observaciones también se han evidenciado en buzos comerciales sin antecedentes de enfermedad de la descompresión. Por otra parte, la actividad de buceo en exceso y por tiempo prolongado, también se la relacionó con la disminución de la capacidad intelectual.
Tetzlaff y colaboradores, por su parte, demostraron que buzos comerciales de edad avanzada sin antecedentes de enfermedad por descompresión están en riesgo de presentar efectos perjudiciales en el sistema nervioso central, a largo plazo. Esto se asocia directamente con un deterioro de la actividad neuropsicológica con el aumento de la prevalencia de lesiones de la sustancia blanca del cerebro.
Esto fue puesto de manifiesto en la alteración significativa en las pruebas de planteamiento de figuras por unión de puntos (denominada Test de Ruff), lo que sugiere que pueda perjudicar la capacidad de seguimiento visual.
Los estudios realizados sobre los efectos a largo plazo, ya sea del buceo comercial o recreativo, han dejado claro que la osteonecrosis y la pérdida de la audición son las principales preocupaciones.
En los últimos años, la literatura médica a través de diferentes tipos de estudio, han sugerido que hay posibles efectos perjudiciales crónicos a largo plazo de buceo. Éstos implican que el buceo podría producir un daño subclínico en el cerebro, la médula espinal, el oído interno, la retina y las vías respiratorias pequeñas del pulmón. Otros estudios sugieren disminución significativa de la función pulmonar y cognitivos.

Pulmones
Durante la práctica del buceo los pulmones están expuestos a diferentes factores que pueden afectar de diferentes maneras a su correcto funcionamiento.
El estrés de la descompresión a lo largo de los años puede dar como resultado microembolias en los capilares pulmonares. Una mayor presión parcial del oxígeno respirado durante un periodo prolongado de tiempo, puede afectar negativamente en los órganos respiratorios.
Estos factores pueden desencadenar reacciones inflamatorias y alteraciones en el intercambio de gases en los pulmones, y debido al aumento de la densidad del aire o de la mezcla respiratoria del buzo, un aumento del trabajo de respiratorio.
En el año 2002, el Dr. M Skogdstad de Noruega, realizó un análisis longitudinal de los cambios en las pruebas funcionales respiratorias de buzos comerciales, en un período de 6 años.
Para ello, tomó un grupo de 77 hombres que ingresaron a la escuela de buceo comercial a los que les realizó dos pruebas funcionales respiratorias antes de iniciar su formación. Los comparó con un grupo de 64 estudiantes de la academia de policía.
A los dos grupos le realizó un seguimiento de 6 años de forma paralela. Las evaluaciones de la función pulmonar incluyeron volúmenes dinámicos pulmonares, flujo espiratorio máximo y difusión de monóxido de carbono.
El resultado final fue una reducción significativa de la capacidad vital forzada, del flujo espiratorio máximo y de la difusión de monóxido de carbono, en el grupo de buzos comerciales, comparado con el grupo de policías, lo que indica que el buceo ha contribuido en la disminución de las funciones pulmonares.
Sistema Nervioso Central
El Dr. K Todnem, de Noruega, seleccionó a 40 buzos de saturación, los que fueron examinados uno a siete años después de haber realizado su última inmersión profunda (190-500 metros de agua de mar), con la finalidad de buscar alteraciones neurológicas.
Se los comparó con un grupo control de 100 hombres no buzos. Observaron que el grupo de los buzos presentaba mayor cantidad de síntomas neurológicos, siendo los más comunes las dificultades en la concentración y parestesias (anomalías en la sensibilidad) en pies y manos.
También tenían signos de disfunción en el cordón medular lumbar y una mayor proporción de electroencefalogramas anormales que el grupo de control.
Estos hallazgos se asociaron más con los buzos que realizaron buceos a mayor profundidad y con los que habían tenido manifestaciones de enfermedad de la descompresión.
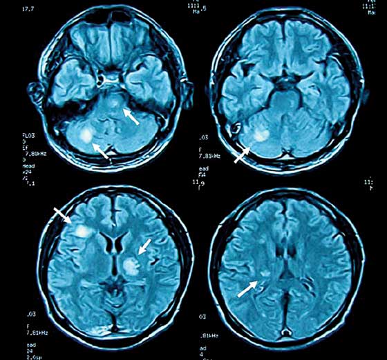
Los estudios de potenciales evocados auditivos y visuales (técnicas de diagnósticos para estos sistemas), al igual que la resonancia magnética nuclear (RNM), no mostraron hallazgos anormales en los buzos.
Se concluyó que el buceo puede tener un efecto a largo plazo sobre el sistema nervioso de los buzos, especialmente para los que han realizado buceos a gran profundidad y para quienes manifestaron signos o síntomas de enfermedad de la descompresión durante su carrera.

Sin embargo, el Dr. Erdem, en un estudio realizado a 113 buzos militares de Turquía, comparados con 65 no buzos, encontró lesiones en la sustancia blanca del cerebro (evidenciadas por RNM) en el 23% de los buzos frente al 11% del grupo control.
Estos hallazgos generaron mucha controversia, ya que hay diferentes estudios a favor y en contra de las lesiones del sistema nervioso central producidas a largo plazo por el buceo.
Dicho esto, sabemos que buzos con, literalmente, miles de inmersiones, no han mostrado signos o síntomas de efectos a largo plazo en el sistema nervioso.
Es por ello que la información y los estudios realizados son muy subjetivos con el tipo de buceo, la historia de enfermedad descompresiva (ED) y un gran número de otros factores fisiológicos de cada buzo.
Hay que recordar que siempre que se realicen inmersiones dentro de los límites de seguridad, respetando la velocidad de descompresión y los algoritmos descompresivos, se minimizan los efectos a largo plazo del buceo sobre el organismo.
Gustavo Mauvecín

El Dr. Gustavo Mauvecin se dedica desde hace más de 30 años a la Medicina Hiperbárica. Se formó en la Armada Argentina como Oficial Médico de Buceo y Submarinos. Posteriormente continuó su capacitación en la U.S.Navy como Diving Medical Officer y Underwater Medial Officer.
Es socio fundador de la Sociedad Argentina de Medicina Hiperbárica y Actividades Subacuáticas, en la que ocupó los cargos de presidente y vicepresidente. Como docente, ha formado a médicos, paramédicos, enfermeros y buzos en la gestión de accidentes relacionados con el buceo y el trabajo en ambientes sometidos a presión, al igual que en la seguridad y prevención de accidentes laborales en este medio y cámaras hiperbáricas.
Actualmente está al cargo de la Dirección Médica del Centro de Medicina Hiperbárica de Mar del Plata y trabaja como asesor para empresas de buceo offshore, de buceo de intervención y de saturación. Colabora con DAN (Divers Alert Network) como médico de enlace para Latinoamérica. Es también coautor del libro ‘Buceo, aspectos médicos y fisiológicos’.
